【作者】康振生;左豫虎;王瑶;李振岐;
【机构】西北农业大学植物保护系;西北农业大学植物保护系 陕西杨陵 712100;
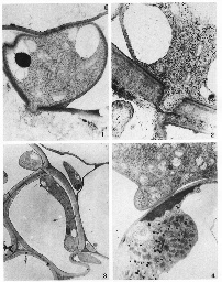
【摘要】采用电镜技术研究了小麦雪霉叶枯病菌(Gerlachia nivalis)侵染过程的细胞学特征。电镜观察发现,分生孢子萌发产生的芽管由孢子细胞壁内层延伸而成;病菌侵入寄主体内后,胞间菌丝先在寄主细胞间扩展,随后胞间菌丝侵入坏死的寄主细胞,形成胞内菌丝;胞间菌丝和胞内菌丝在形态结构上无明显差异。在病菌扩展过程中,寄主细胞发生了一系列的病理变化,并最终坏死消解,寄主细胞的变化可能与病菌分泌的毒素有关。
ManBetX体育雪霉格氏霉;侵染过程;超微结构;细胞学;
【基金】国家“八五”攻关课题资助项目;
【分类号】S435.121;
【文内图片】







