【作者】李金玉;康振生;黄丽丽;李振岐;
【机构】中国农业大学种衣剂化学研究发展中心;西北农业大学植保系西北农业大学植保系 北京 100094;陕西杨陵 712100;
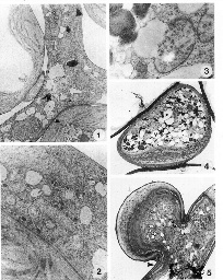
【摘要】利用电镜技术研究了内吸杀菌剂甲霜灵对向日葵霜霉菌在寄主向日葵上发育的影响。观察发现甲霜灵引起病菌发生一系列的变化。病菌胞间菌丝细胞内液泡、电子致密体增加,线粒体肿胀畸形;菌丝细胞壁不规则地加厚,部分极度加厚的细胞壁构成了假隔膜,并且在菌丝上还有不规则的突起形成。病菌吸器外间质明显不规则地变宽,其中充满大量电子致密度高的物质;部分吸器体不能正常扩张膨大,发育受阻而成畸形。向日葵霜霉菌的以上变化导致菌丝细胞和吸器的坏死,从而抑制了病菌的进一步发育。
Manbetx体育手机版V17版本发布.官网安卓网.香港向日葵;向日葵霜霉菌;内吸杀菌剂甲霜灵;超微结构;
【基金】国家产学研项目资助课题;
【分类号】S482.2;
【文内图片】







