误食野生蘑菇中毒事件近年来在我国频频发生,已成为我国食物中毒事件中导致死亡的最主要因素,并且80%以上的蘑菇中毒死亡都是由剧毒的鹅膏菌所引起。中毒后蘑菇种类的早期鉴定对于中毒诊断和治疗具有非常重要的作用,然而,由于鹅膏菌物种的多样性以及往往中毒现场样本的不完整性,形态鉴定又需要专业分类工作者,同时,目前的分子生物学鉴定需要PCR仪和DNA测序,所需时间长,难以满足基层疾控和医疗单位对毒蘑菇中毒后需要快速鉴定毒源的要求。
湖南师范大学生命科学学院真菌研究室陈作红教授课题组利用两种恒温扩增技术——环介导等温扩增技术(loop-mediated isothermal amplification,LAMP)和超分支滚环扩增技术(hyperbranched rolling circle amplification,HRCA),基于α-鹅膏毒肽基因(α-AMA)序列和核糖体DNA内转录间隔区(ITS)序列设计了一系列引物和探针,建立了一系列针对剧毒鹅膏菌的快速分子检测方法。可以很好的鉴定和区分亲缘关系非常近的剧毒鹅膏各物种,以及准确识别和区分剧毒鹅膏和非剧毒鹅膏。同时,这些方法相比传统的PCR法,具有更高的特异性和灵敏性,简单快速,成本低,仅需要一个恒温水浴锅,1-2小时内就能完成检测反应,通过染料颜色变化即能判断反应结果。这些方法非常适合于基层单位推广和现场应用,对于蘑菇中毒物种的快速鉴定和中毒患者的诊断、治疗具有非常重要的意义。
2019年6月17日和18日,研究成果“Universal Identification of Lethal Amanitas by Using Hyperbranched Rolling Circle Amplification based on α-amanitin Gene Sequences”和“Development and evaluation of Isothermal Amplification Methods for Rapid Detection of Lethal Amanita Species”分别发表在Food Chemistry(1区,IF=5.399)和Frontiers in Microbiology期刊上(2区,IF=4.259),两篇论文的第一作者均为何正蜜博士生,通讯作者为陈作红教授。该研究得到了国家自然科学基金、湖南省生态学重点学科的支持。
陈作红教授表示:“这篇文章的创新就在于以近年来新发现的鹅膏毒素基因为靶点设计了特异性锁式探针,基于鹅膏毒素基因来区分剧毒鹅膏和非剧毒鹅膏。原来希望能通用性识别所有含鹅膏毒肽的物种,但是发现只能鉴定鹅膏菌,不能识别含鹅膏毒肽的其它属的物种,文章也分析了原因。该文得到了2个审稿专家的很好评价。”
陈作红教授表示:“这篇文章的创新就在于以近年来新发现的鹅膏毒素基因为靶点设计了特异性锁式探针,基于鹅膏毒素基因来区分剧毒鹅膏和非剧毒鹅膏。原来希望能通用性识别所有含鹅膏毒肽的物种,但是发现只能鉴定鹅膏菌,不能识别含鹅膏毒肽的其它属的物种,文章也分析了原因。该文得到了2个审稿专家的很好评价。”

9种剧毒鹅膏菌子实体形态图

剧毒鹅膏菌恒温扩增检测流程

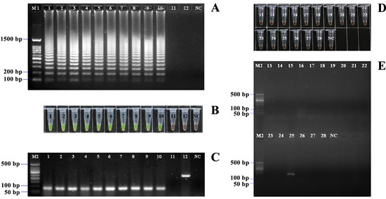
基于α-鹅膏毒肽毒素基因超分支滚环扩增技术检测剧毒鹅膏结果

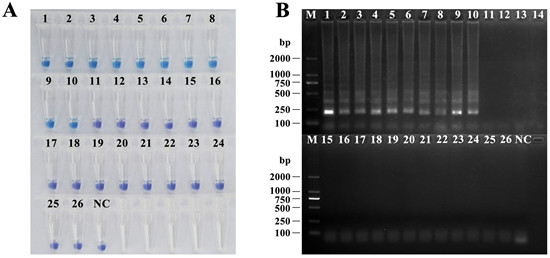
剧毒鹅膏菌LAMP通用性检测结果
文章链接1
https://www.sciencedirect.com/science/article/pii/S0308814619311331
文章链接2
https://www.frontiersin.org/articles/10.3389/fmicb.2019.01523/abstract













